目次
整形外科を受診すべき膝の痛みとは?
膝痛とは、膝関節周囲で起こる痛みの事です。これは原因により主に「加齢に伴う変形による痛み」と「炎症に伴う痛み」があります。腰の痛みや股関節の病気が原因で付随して起こる膝痛もあるので必ずしも膝痛=膝に原因が絶対ではありません。
膝に原因のあると予想される膝痛の症状は、
- 立ち上がる時や伸ばしはじめで膝が痛い
- 長時間歩くと膝が痛くなる
- 深くしゃがむと膝の内側の後ろが痛くて立ち上がれない
- お皿の奥が痛い
- 膝が全体的に腫れていたい
- 膝の後面が膨れており、しゃがめない
- 階段昇降で膝が痛い
・病院を受診すべき目安、理由
膝が痛いと歩行や移動に支障が出ますので、お困りならまず整形外科にて相談してください。
・原因は多岐にわたる
●関節軟骨障害の痛み
 
膝は大腿骨、脛骨、膝蓋骨がそれぞれ関節を形成しています。
つまり大腿骨-脛骨との関節と、膝蓋骨-大腿骨との関節です。関節を構成している関節軟骨は加齢や外傷により環境変化を生じて削れて痛みを伴っていきます。
●半月板の痛み
 
半月板は膝関節の内側・外側にある三日月型の軟骨様組織で、大腿骨と脛骨の間で荷重を分散し、緩衝材の役割を果たします。
外周以外に血流がないため、損傷すると自然治癒しにくいのが特徴です。交通事故や運動による外傷、加齢により損傷し、膝の曲げ伸ばしや階段昇降時にひっかかりや痛みを引き起こします。
●膝関節特発性骨壊死
 
骨壊死とは骨の内部が傷んで、組織が死んでしまっている状態を指します。「特発性」とは、原因がわからないものという意味ですが、当初は大腿骨頭壊死という血流途絶の影響が懸念されていました。
しかし近年では、半月板損傷が84%に合併しており、半月板断裂や半月板が逸脱する事での過剰負荷と考えられています。
このような状態まで進んでしまうと、O脚になったのちに変形性膝関節症に進行してしまいます。 膝の治らない痛みで徐々に悪くなっていく事が特徴的です。
参考:膝関節骨壊死症の診かた 中山寛
●痛風
急な熱を持った膝の腫脹が特徴です。皮膚は高い炎症反応を表すように鮮紅色になって腫れてしまいます。
高尿酸血症と健康診断で言われている方や、急に腫れて原因を調べて実は痛風だったとなる方もいます。
似たような病態でピロリン酸カルシウムが沈着して関節炎が起こる“偽痛風”という病態も膝の痛みの一種であります。
膝痛の原因となる疾患
膝の痛みを引き起こしている原因は様々な疾患があります。ただの痛みではなく危ないものもあるので、きちんと医療機関で検査をしていく事が重要です。
では、原因をあげていきましょう。
変形性膝関節症
 
変形性膝関節症とは、膝の関節の軟骨の質が低下して、少しずつすり減り、歩行時に膝の痛みが出現する病気です。「おばあさんの、膝軟骨がすり減る病気」で聞いたことがあるかと思います。
加齢変化の他に、若くても関節面の骨折をした人や、半月板、靭帯に損傷があった方が進行していきます。これにはレントゲン写真でGrade分類されております。徐々に破壊が進んでいくとⅣになります。
Gradeが上がるにつれて痛みも強くなる例が多く、注射や内服、リハビリで困難な場合には、人工膝関節手術を検討していく形が主流でした。
半月板損傷
 
 
半月板損傷はスポーツや交通事故で受傷することが多く、自然治癒しにくい障害です。半月板の外周1/3にしか血流がなく、適切な治療をしないと変形性膝関節症のリスクが高まります。
損傷には、外傷によるものと、加齢で変性し軽微な外力で悪化する変性断裂があります。生まれつき半月板が分厚い円板状半月も原因となります。特に内側半月板が損傷しやすく、膝を深く曲げたり捻ると内側後方に痛みが出やすくなります。
膝の曲げ伸ばしで引っかかり感があり、炎症による水腫で腫れることもあります。悪化すると「ロッキング」が起こり、膝が動かなくなり歩行困難となることがあります。
靭帯損傷
 
 
膝の靭帯で障害が起こりやすく重要なのは上記の4つの靭帯です。
- 前十字靭帯
 脛骨が前方へ引き出される(ズレる)動きを抑制している。
- 後十字靭帯
 脛骨が後方へ押し出される(ズレる)動きを抑制している。
- 内側側副靭帯
 膝が内側にグラつく動き(外側に折れ曲がるX脚の方向)を抑制している。
- 外側側副靭帯
 膝が外側にグラつく動き(内側に折れ曲がるO脚の方向)を抑制している。
これらの靭帯がスポーツ外傷、交通事故で受傷してしまう場合や変性断裂してしまう場合に靭帯損傷が発生します。
発症のエピソードについては
- 前十字靭帯損傷
 ジャンプ着地の際に膝が内側に入るknee-inの動作や、急激な方向転換やストップ動作で回旋する力が加わったとき。膝が前にねじれて、この靭帯が引っ張られて損傷します。
- 後十字靭帯損傷
 脛骨(すね)に前方から強い力が加わった場合です。
 脛骨が後方にずれる力が強くなり、この靭帯が引っ張られて損傷します。
- 内側側副靭帯損傷
 膝が外反(X脚)にさせられる受傷をするときに緊張し、損傷します。
 ラグビーやアメリカンフットボール、サッカーなどのコンタクトスポーツにて内側からの外力(タックル)により生じます。
- 外側側副靭帯損傷
 最も頻度が少ない損傷ですが、他の障害と一緒に発生して(複合靭帯損傷)重症化しやすいです。交通事故や、特定のひねる受傷をするようなコンタクトスポーツ受傷があります。
- 膝複合靭帯損傷
 膝の4つの靭帯中、2つ以上の靭帯が損傷を受けた状態。単独の靭帯損傷よりも不安定になり、その結果半月損傷や軟骨損傷も合併してしまいます。
急性関節炎
膝の関節炎には、以下のものが重要です。
- “感染症”が関与する”「化膿性膝関節炎」
- “結晶成分により誘発された関節炎”による「痛風発作、偽痛風発作」
・化膿性膝関節炎とは
化膿した関節液が溜まる病気です。痛みや腫れが強く、発熱、採血では炎症反応が強く上昇します。
関節を構成する軟骨や骨を破壊していくので、緊急で洗浄する手術となる確率が高いです。
細菌は侵入経路については2つがあります。
- 血行性
 肺炎や尿路感染といった、老人がなりやすい別の感染源がありそれが血流により関節に運ばれる場合
- 直接浸潤
 膝周囲の構成組織(皮膚、脂肪、筋肉など)や、骨に生じた感染が、そのまま関節内で繁殖する場合、ケガや、医療で行う手術(術後感染)、関節内注射などが起因することがあります
参考:化膿性関節炎 (かのうせいかんせつえん)とは | 済生会
“結晶成分により誘発された関節炎“については、「痛風、偽痛風」が代表となります。
・痛風とは
痛風は、血中の尿酸値が7.0mg/dlを超えると関節内に尿酸結晶が沈着し、白血球の反応で炎症が起こる病気です。
足の親指の付け根が好発部位で、足首や膝にも発生します。発作は薬で治まりますが、結晶が蓄積し再発しやすい特徴があります。
・偽痛風とは
偽痛風は、60歳以上の女性に多く、ピロリン酸カルシウムの沈着が原因で炎症を引き起こします。痛風とは異なり、尿酸値を下げる治療は不要で、再発を防ぐ確立された方法はまだ見つかっていません。
関節リウマチ
関節リウマチは全国に70~80万人の患者がいる膠原病で、女性が男性の4倍罹患しやすい疾患です。
自己免疫の異常により、関節内の滑膜が誤って攻撃される事で発症します。発症の原因は完全には解明されていませんが、遺伝的要因に加え、タバコや歯周病、腸内細菌の異常などの環境因子が関与すると考えられています。
好発部位は手指や手関節などの小関節が多いですが、肩、肘、膝、足関節などの大関節から発症する場合もあります。
膝蓋下脂肪体炎
 
膝蓋下脂肪体炎は、膝蓋骨の下にある脂肪組織の炎症で、膝の前面に痛みが生じる疾患です。特に膝を伸ばす際に痛みが出る「Hoffa sign」が特徴で、押すと膝蓋骨下部に圧痛が現れます。
外傷や繰り返しの小さな負荷が主な原因とされます。診断のために、局所麻酔を脂肪体に注射し、痛みの軽減を確認することもあります。
鵞足炎(がそくえん)
 
画像引用:鵞足炎(がそくえん) | 慢性痛治療の専門医による痛みと身体のQ&A
鵞足炎は、膝の内側下部にある鵞足と呼ばれる腱付着部の炎症で、膝から5~7cm下に圧痛が生じます。縫工筋などの腱が関与し、痛みの特徴は「膝より少し下が痛い」ことです。一度炎症が起こると、内服薬や注射、マッサージなどで治療を行います。
整形外科でできる膝の検査・診断
クリニックで行える膝の検査には、レントゲン、エコー、CT、MRIがあります。
レントゲンは、関節の潰れや膝蓋骨の脱臼を動態撮影で評価できます。変形性膝関節症ではレントゲンで判断が有用であるKL分類を用います。
エコーは、内側側副靭帯の断裂や膝裏のベーカー嚢腫の大きさを確認し、針刺しのガイドや血流増加の可視化が可能です。
CTは、骨の棘や骨折の評価、手術計画に用いますが、靭帯や半月板は描出できず、被曝のため多用しません。
MRIは、靭帯・半月板・骨髄浮腫・軟骨障害を詳細に確認できます。ベーカー嚢腫の評価や正常画像との比較で病状を説明しやすくなります。
膝の痛みの治療方法
膝の痛みの診療は、病院とクリニックで異なり、最大の違いは手術の可否です。
一般的なクリニックは入院施設がなく、手術は病院で行います。病院では医師の負担が大きく、長期処方を提案しやすい傾向があります。
一方、クリニックでは患者の変化に細かく対応し、内服薬の調整や頻繁な注射で生活改善を行い貢献するために、2週~4週間程度の処方で管理することが多くなります。
薬物療法
痛みの薬物治療には、ロキソニンで有名なNSAIDs系やカロナールで有名なアセトアミノフェン系を一般的に使います。
腱の炎症には湿布やヒルドイドなどの外用剤も用いられます。内服薬の副作用はすぐには現れませんが、長期使用で胃潰瘍、腎障害、肝障害のリスクがあります。
そのため、医師は患者の採血データを基に副作用を考慮し、最適な薬の組み合わせを処方します。
装具療法
装具療法には主に2種類あります。
① 膝の機能障害を補う装具治療
 写真1 写真1
 写真2 写真2
 写真3 写真3
画像引用:ハイブリッドシーネシリーズ(ギプスシーネ×サポーター) | 日本シグマックス整形外科領域 総合情報サイト SIGMAX MEDICAL
炎症による膝の痛みには、圧迫を加えることで軽減できるため、伸縮性のある膝用装具を使用します(写真1)。
骨折や打撲では、膝を固定するシーネ固定が用いられ、太ももからふくらはぎまでを支える構造です(写真2)。
靭帯断裂後の初期には装具を併用し、不安定な膝には支柱のある装具を使用します。ただし、大型装具はズボンの中に収まりにくく、外から目立つことがあります(写真2)
②足底板の調整で、荷重線を膝の痛い部分から外し、膝の負担を減らす治療
画像
左:荷重線が膝の内側の痛い部位を通る
中:O脚をイラストにするとこのような荷重線がかかっている
右:斜線部が足底版。外側が高い足底版(インソール)を履くと拇趾側に体重が寄って、結果として荷重線は膝の内側から離れる。痛みが出にくくなる。
画像元:
写真   筆者撮影
イラスト 高岡整志会病院
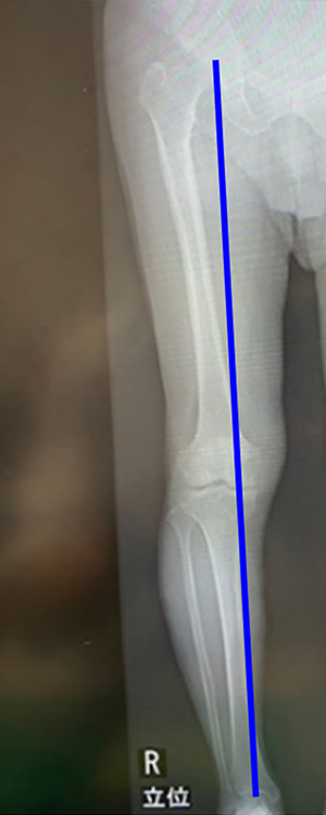
変形性膝関節症では、膝の内側に痛みが出やすく、O脚により体重が膝の内側へ集中することが原因です。
体重の負荷がかかる軌道を「ミクリッツライン」といい、これが膝の内側を通ると関節への負担が増します。
そこで、足底装具(インソール)を使用し、足に傾斜をつけることで体重の負荷を外側へ分散させ、膝への負担を軽減し痛みを和らげることができます。足の傾斜は、外側(小指側)が高く、内側(親指側)が低いイメージです。
リハビリ(運動療法、物理療法)
リハビリテーションには運動療法(1-5)と物理療法(6)があり、以下のように分類されます。
- 関節可動域訓練(ROM訓練)は、関節の動きを改善し硬直を防ぐ目的で、手術後や関節炎の患者に行われるが、骨折直後や急性炎症がある場合は慎重に行います。
- 筋力強化訓練は、筋力向上による関節・骨への負担軽減を目的とし、筋力低下がある患者に適応されるが、急性期の筋損傷や骨粗鬆症が重度の場合は注意が要ります。
- 持久力訓練は、心肺機能の向上を目的とし、長期入院後の患者に行われるが、心疾患や極端な体力低下がある場合には行いません。
- バランス訓練は、転倒予防や動作の安定を目的とし、高齢者やバランス障害のある患者に適用されます。
- ストレッチングは、筋肉の柔軟性向上を目的とし、筋肉のこわばりがある患者に有効ですが、急性の筋損傷や靭帯損傷がある場合は慎重に行います。
- 物理療法には、温熱療法、レーザー療法、電気療法、電気針療法、牽引療法、超音波療法などがあります。血行促進や鎮痛、組織修復を目的とします。
 熱療法は慢性の痛みに有効ですが、急性炎症には行いません(冷却が適している)。レーザー療法は軟部組織損傷の回復を促しますが、悪性腫瘍や妊娠中の腹部には使用不可です。
 電気療法は痛みの緩和に有効ですが、ペースメーカー装着者には禁忌となります。
手術
膝の痛みに対しての手術は原因により異なります。
現在多くの患者様がお困りの変形性膝関節症については、UKA、TKAという人工膝関節置換手術があります。(これについては、下記を参考にしてください)
既に整形外科で治療をしていても治らない場合の対処法
膝の痛みでお悩みの皆さんへ – 最適な治療を受けるために!
膝の痛みは適切な治療を行えば改善が期待できます!
荷重線の調整やMRIで内部の状態を詳しく評価し、注射の種類を変えたり、リハビリを工夫することで、より高い治療効果を得られることがあります。
「リハビリ」と一言で言っても、電気治療(物理療法)のみでは十分な回復が望めない場合もあります。医療機関を受診する前に、どのようなリハビリプランが用意されているのかを意識することも大切です。
現在の治療で改善が見られない場合、治療の限界に達している可能性があります。
しかし、それを患者さん自身が知らず、効果のない治療を続けているケースも少なくありません。
もし「このまま治療を続けても良くならないのでは?」と感じたら、別の医療機関を受診するのも選択肢の一つです。
信じて治療を続けてきたのに改善が見られないなら、心機一転、新たな治療方針を探してみましょう!
その際、紹介状や画像データを持参することで、よりスムーズに適切な治療を受けられます!
諦める前に、あなたに合った最善の治療を探しましょう!
まとめ
「膝の名医」を探す人は多いですが、名医とは何でしょうか?
手術の技術が高いことだけが名医の条件ではありません。
医療の世界では、医師が病院を移動したり、広告によって名医とされるケースもあります。
私が考える名医とは、患者さんの状態を的確に見極め、必要に応じて専門家に繋げるアンテナを持った医師です。そして、患者さんが納得できる治療を受けられることこそが、最高の医療の形だと信じています。
「痛みやしびれがもっと楽になれば、笑顔を取り戻せるのに…」
そんな患者さんの悔しさを変えたい一心で診療を続けてきました。
私は神経(脊髄)を得意とし、膝を含めた整形外科手術を経験してきた専門医です。MRIを活用することで、より正確な診断と最適な治療が可能になります。
近隣でMRI検査が受けられず困っている方、他院の治療で改善が見られず不安を感じている方、ぜひ一度ご相談ください。
他院のセカンドオピニオンも歓迎します。
難治例にも多く対応してきた経験があります。完全に元通りにならなくても、一歩ずつ前に進むことはできます。
あなたの「悔しさ」を「笑顔」に変えるために、私たちと一緒に治療を進めましょう!
監修
 
								整形外科専門医Dr.沼口大輔
| 2006年 | 東邦大学医療センター大橋病院 入職(初期研修) | 
|---|---|
| 2008年~ | 東京女子医科大病院整形外科 入局 千葉こども病院、国立がん研究センター築地病院ほか関東近県の複数関連施設にて研鑽を積む | 
| 2013年 | 日本整形外科学会認定 整形外科専門医 取得 | 
| 2016年 | 日本整形外科学会認定 脊髄病医 取得 | 
| 2016年~ | 東名厚木病院  医長 脊椎外科手術年間100件執刀、外傷手術年700~800件に携わる | 
| 2019年 | 日本脊椎脊髄病学会脊椎外科指導医 取得 | 
| 2024年~ | 千葉県内 救急病院に入職 | 
| 2025年 | 早稲田大学大学院(経営管理研究科:MBA)学位取得 | 
原著論文1
Incidence of Remote Cerebellar Hemorrhage in Patients with a Dural Tear during Spinal Surgery: A Retrospective Observational Analysis. 2019/04
症例報告
C5/6 hyperflexion sprainの1例 2018/06
原著論文2
環軸関節亜脱臼の診断におけるトモシンセシス撮影の有効性 2017/08
原著論文3
人工股関節全置換術を要した遅発性脊椎骨端異形成症の1例 2012
学会発表
- 強直性脊椎骨増殖症に発生した頚椎骨折に対して、前方固定術を施行した1例 (口頭発表,一般)
- MRI矢状断像における椎間孔部での狭窄の分類 (口頭発表,一般) 2013/04/25
- 脊椎手術において2本ドレンを留置することは術後の血腫による麻痺を防ぐことができるか (口頭発表,一般) 2013/04/25
- 椎体骨折偽関節症例に対するBalloon kyphoplasty施行後の隣接椎体骨折危険因子に関する検討 (口頭発表,一般) 2013/04/25
- 肩甲上神経絞扼を認めた肩甲切痕部ガングリオンの1例 (口頭発表,一般) 2012/06/23
- 外反母趾術後に出現した足底部痛の1例 (口頭発表,一般) 2010/11/16
 
					


 
										