整形外科では運動器の疾患を取り扱います。
運動器とは骨、関節といった骨格系と筋肉やその神経系の運動器の機能改善を目的とします。全身の範囲で言えば、背骨、骨盤といったしっかりした体幹の骨と、四肢の骨があります。
目次
整形外科で手術となるケースとは?
手術となるケースは、病気により異なります。最初から手術しか選べない病状のものや、外来治療と手術がどちらも有効な場合に選択肢として上がってきます。
整形外科で緊急手術となりやすいものは、脊髄損傷や開放骨折(バイク事故などで骨折して、皮膚も損傷し骨折部が折れていることに加え汚染され、骨髄炎になりやすいもの)や骨盤骨折、小児の肘周囲の骨折や指の切断後の再接着、糖尿病の足の切断です。
他院で手術が必要と診断された場合にセカンドオピニオンは必要?
手術の説明を受けたものの、判断を迷うので他の先生に聞きたいなと思った場合に、セカンドオピニオンという仕組みがあります。これは個人の希望で病院を移動し相談できます。
しかし、患者さんの情報がきちんと紹介されないと、次の先生も正しい判断はできませんので今までの状況を理解しているかかりつけ医師に紹介状や画像の添付を希望して移動してください。
セカンドオピニオン外来は、基本的には公的な医療保険適応外なので自由診療(自費診療)になります。費用は病院により違うために、受診前に確認をしましょう。
参考:セカンドオピニオン:[国立がん研究センター がん情報サービス 一般の方へ]
整形外科で行われる主な手術(一覧)
整形外科で行われる手術を件数が多い順に主なものを挙げていきます。
| 整形外科の手術 | 対象となる病気 | 
|---|---|
| 骨折手術(大腿骨転子部、頸部) | 大腿骨転子部骨折、大腿骨頸部骨折 | 
| 人工関節置換術(膝) | 変形性膝関節症 | 
| 人工関節置換術(股) | 変形性股関節症、形成不全性変形性股関節症、特発性大腿骨頭壊死 | 
| 人工骨頭挿入術(股) | 大腿骨頸部骨折 | 
| 骨折手術(前腕) | 橈骨遠位端骨折 | 
| 椎弓切除・椎弓形成術 | 腰部脊柱管狭窄症、頚椎症性脊髄症、頸椎後縦靭帯骨化症、頚髄症、腰椎椎間板ヘルニア | 
| 後方椎体固定術 | 腰部脊柱管狭窄症、腰椎変性すべり症、腰椎椎間板ヘルニア、腰椎分離すべり症 | 
| 関節鏡下肩腱板断裂手術 | 肩腱板断裂 | 
| 関節鏡下靭帯断裂形成手術 | 前十字靭帯断裂、後十字靭帯断裂 | 
| 内視鏡下椎間板摘出術 | 腰椎椎間板ヘルニア | 
骨折手術(全体的に)
骨折は様々な骨が折れて、その支持機能を失った状態です。骨折手術は整復(骨折した骨片をもとに戻す)と固定(金属性のスクリューやプレート、髄内釘で固める)をする手術です。
手術後は約1年後に抜去するものがあります。一方で、抜去しない例もあります。その理由は抜去困難だったり神経障害リスクがあるといったものです。
【対象となる病気】
骨折手術の件数で多いものは以下です。
| 骨折名 | 部位説明 | 
|---|---|
| 大腿骨頸部/転子部骨折 | 脚の付け根の骨折 | 
| 椎体圧迫骨折 | 背骨の骨折 | 
| 橈骨遠位端骨折 | 手首の骨折 | 
| 上腕骨近位端骨折 | 腕の付け根(肩周囲)の骨折 | 
また、骨折の手術で一番良く行う方法は、プレート、スクリュー固定という方法と、髄内釘という方法が多いです。
| 手術方法 | 内容 | 
|---|---|
| プレート、スクリュー | 骨の近位と遠位をまたいで金属プレートとスクリューで固定する方法。 広く使用される | 
| 髄内釘 | 金属を骨髄内に挿入し、内部で連結し固定する。傷が小さく、筋肉へのダメージが少ないのが利点。 | 
人工関節置換術(膝)
 
人工関節置換術とは
人工膝関節置換術は、摩耗していたんだ膝の関節面を人工インプラントで置き換える手術を指します。
関節軟骨は円滑に動いているのですが、傷んだ関節表面は削れて欠損していたり、過剰な骨が増生しています。人工関節に置き換えるべき厚みを削って人工関節に置き換えて設置します。
大腿骨、脛骨、膝蓋骨といったすべての膝関節の表面を置き換える人工膝関節全置換術(TKA)と、部分的な人工膝関節置換術(UKA)に大別されます。
| 項目 | TKA(人工膝関節全置換術) | UKA(部分置換術) | 
|---|---|---|
| 適応 | 膝全体の関節面の障害による痛み 下肢アライメント異常 | 膝の内側または外側のみの障害 | 
| 手術時間 | 1~2時間 | 約1時間 | 
| 回復 | 約2週間で退院 | 約2週間で退院 | 
スポーツについては軽いスポーツ(ゴルフ、卓球、水泳など)は可能です。運動強度が高く負荷も高いスポーツ(マラソンやジャンプを伴う競技)を行う事は勧めません。
 
画像:Partial knee replacement – series—Aftercare: MedlinePlus Medical Encyclopedia
Knee joint replacement: MedlinePlus Medical Encyclopedia
手術では、麻酔方法は病院により異なりますが、一般的には全身麻酔で患者さんは寝ていることが多いです。
仰向けで膝を曲げて、膝正面またはややカーブする切開を加え、お皿の骨(膝蓋骨)を移動させながら膝を開いていきます。
一般的な内側型のUKAでは膝内側の関節面の骨棘、半月板を切除していき、大腿骨側(太ももの骨)と脛骨側(ふくらはぎの骨)の関節部分を切除していき、人工関節のサイズを適合させて置換します。
ポリエチレンの素材でできた白いインサーターというものを入れて滑らかに動けるようにします。
TKAの手術では、先程のUKAと異なり内側、外側ともに置換できるようになっている人工関節で取り換えていきます。つまり、内側や外側のみの単独の障害ならばUKAが選べるが全体的な障害だったり、靭帯が切れていて不安定な場合などは、TKAを選択していきます。
UKAは1時間程度、TKAでは1-2時間手術にかかることが多いです。
手術後は2週程度で退院となる事が多いです。
【対象となる病気】
- 変形性膝関節症
人工関節置換術(股)
 
人工股関節手術とは
股関節は大腿骨の丸い骨頭部分が骨盤側の関節面に組み合わさって、関節軟骨により表面はおおわれています。
それにより滑らかな股関節の動きができる仕組みとなっています。変形性股関節症では、関節軟骨が変性し摩耗を起こしています。
その結果股関節に体重をかける度に痛みを伴うようになってしまい、この関節面がひどく摩耗してしまった場合です。保存加療が限界である場合、年齢によりますが多くは人工股関節手術を選択していきます。
 
人工股関節置換術は、摩耗・損傷した股関節の骨頭と骨盤側の関節面をインプラントに置き換える手術で、主にステム、骨頭、カップで構成されます。インサートにはポリエチレンが多用されます。
麻酔は施設により異なりますが、一般的に全身麻酔で行われ、手術時間は1~2時間程度です。
術式には、簡単に言えば後方(お尻付近)と前方(鼠径部付近)やその中間からのアプローチがあり、医師の技量や慣れた方法によって選択されます。手術では、骨頭を切除し、骨盤側の関節面を整えた後、適合するカップを設置します。さらに、大腿骨にステムを挿入し、骨頭とカップインサートを連結して股関節を整復します。
術後は通常2週間程度で退院可能です。
また、レントゲンの見た目が似ている手術に、人工骨頭挿入術があります。違いは骨盤側の関節面も取り替えるのが人工股関節手術です。
【対象となる病気】
- 変形性股関節症
- 形成不全性変形性股関節症
- 特発性大腿骨頭壊死
人工骨頭挿入術
 
人工骨頭挿入術は、高齢者に多い大腿骨頸部骨折の治療法で、骨癒合が期待できない折れ方をした大腿骨の骨頭を人工物に置き換えて連結する手術です。人工股関節置換術とは異なり、骨盤側のカップ設置は行いません。
手術は一般的に全身麻酔で行われ、股関節の侵入方法には前方・後方がありますが、後方アプローチが一般的です。手術時間は1時間弱です。
高齢者が対象のため、リハビリの進行には個人差があり、平均して歩行可能になるまで2週間以上、退院まで3週間以上かかることが多いです。
【対象となる病気】
- 大腿骨頸部骨折
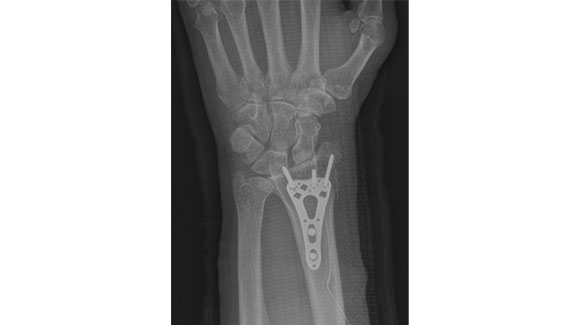
骨折手術(前腕)
 
前腕の骨折手術で多いのは、橈骨遠位端骨折といって手首の骨折です。腕時計ぐらいの部位で骨折し、握力や手の機能が落ちてしまうため、骨折部分の離れ具合により手術を必要とする例が多いです。
手術では全身麻酔または上半身のみのブロック手術で行う事が多いです。
手の掌側(てのひら側)の腕時計の高さ近くで縦に切開を行い、筋肉をよけて骨折部分を正しく整復します。その後に上記のような金属性のプレートを用いて固定を行います。手術は1時間弱で終わり、翌日に退院する事が多いです。
【対象となる病気】
- 橈骨遠位端骨折
椎弓切除・椎弓形成術
 
背骨の手術は、神経を保護する椎弓という骨の処理方法によって名称が異なります。
椎弓切除術(主に腰椎や胸椎)
腰部脊柱管狭窄症の治療として、狭窄部の神経を減圧するために椎弓を切除する手術です。加齢が原因で肥厚した黄色靭帯や他の圧迫因子を切除することで、神経がつまった状態から圧迫を改善させます。
1か所あたりの手術時間は約30分です。
椎弓形成術(主に頸椎)
主に首の病気で頚髄が狭窄する病気(頚髄症)の治療です。椎弓を完全に除去せず、拡大・安定化させて固定する手術です。
頸椎では椎弓をすべて切除すると前に傾いていくリスクがあるため、人工骨や金属などを挿入し拡大します。
このような手術を椎弓形成術と言います。
通常4~5か所を連続で行い、手術時間は約2時間です。
退院までの期間は神経の回復状況によりますが、問題がなければ2週間弱で退院することが多いです。
【対象となる病気】
- 椎間板ヘルニア
- 頸椎症性脊髄症
- 頸椎症性神経根症
- 頸椎後靭帯骨化症
- 脊柱管狭窄症
- 変性性すべり症
後方椎体固定術
 
後方椎体固定術とは
腰椎のすべり症や腰部脊柱管狭窄症の治療として行われる手術です。
すべり症は、加齢により腰椎(特にL4とL5)の関節が緩み、椎間板の高さが低下し、L4椎体が前方にずれる病気です。
これにより黄色靭帯が肥厚し、神経を圧迫して坐骨神経痛や腰痛、進行すると麻痺を引き起こします。
手術では、まず背中を縦に切開して椎弓切除術と合わせて行います。神経を減圧もしますが、もともとぐらついており更なるぐらつきを防ぐために金属固定を併用します。
L4とL5にスクリューを各2本ずつ挿入し、さらに椎間板の代わりに「ケージ」を設置して安定化し、神経の環境を改善します。手術は全身麻酔で行われ、1か所の手術時間は1.5~2時間程度です。
【対象となる病気】
- 椎間板ヘルニア
- 腰椎すべり症
- 腰部脊柱管狭窄症
- 腰椎分離すべり症
Spondylolisthesis – Dr. John C. Nordt -Trusted Spine Surgeon in Miami
関節鏡下肩腱板断裂手術
画像引用:伊藤整形・内科 あいちスポーツ・人工関節クリニック
Journal of Shoulder and Elbow Surgery
関節鏡下肩腱板断裂手術とは
肩のインナーマッスルに障害があり、腱が断裂する状態を腱板断裂と呼びます。四十肩・五十肩とは異なり、断裂の大きさによっては手術が必要となる場合があります。
関節鏡下肩腱板断裂手術は、主に棘上筋・棘下筋の断裂を修復するために行われます。関節鏡を用いて、5~6か所の小さな穴(ポート)を通して特殊な糸を使い、機械で筋肉を縫合・修復します。
手術は全身麻酔で行われ、所要時間は約2時間です。術後の退院は1週間程度が一般的です。
【対象となる病気】
- 肩腱板断裂
関節鏡下靭帯断裂形成手術
 
ACL Reconstruction (Patellar Tendon Graft Technique)
関節鏡下靭帯断裂形成手術
スポーツ障害で膝の前十字靭帯(ACL)や後十字靭帯(PCL)が断裂することがあり、これを修復する手術が関節鏡下靭帯形成手術です。特に前十字靭帯損傷は手術が必要となることが多いので説明します。
手術の流れ
関節鏡で膝内部の損傷を確認後、下腿の筋腱を一部切除し、織り合わせて靭帯の代用とします。
膝の骨にトンネルを作り、新しい靭帯を通して固定します。使用する腱は、膝の内側の腱や、骨付きの膝蓋腱などが選択されます。
手術は全身麻酔で約2時間かかり、退院は1~2週間程度です。リハビリは長期にわたりますが、機能回復を目指します。
【対象となる病気】
- 膝前十字靭帯損傷
内視鏡下手術
 
画像引用:全脊椎内視鏡手術(FESS) | 整形外科 | 医療法人社団 誠馨会 新東京病院
腰椎椎間板ヘルニアの手術には、従来のLOVE法、内視鏡手術のMED法、さらに低侵襲なFESS法があります。
- LOVE法
 背部を5cmほど皮膚切開を行い、筋肉を剥離して神経の裏側からヘルニアを切除する手術です。
- MED法(内視鏡下椎間板摘出術)
 直径16mmの操作管を用い、LOVE法と同様にヘルニアを切除。広く行われているが、FESSより傷が大きい方法です。
- FESS法(完全内視鏡下脊椎手術)
 直径8mmの操作管を使用し、最も低侵襲な手術です。
 局所麻酔も可能だが、現在は全身麻酔が主流。
 傷が小さいため、2日程度での退院も可能。
手術時間はどの方法でも約1時間程度です。
【対象となる病気】
注)すべてがFESS,MEDでできるわけではありません。
- 椎間板ヘルニア
- 頸椎ヘルニア
- 脊柱管狭窄症
整形外科の受診から手術までの流れと注意点
整形外科で予定手術に進んでいく流れを簡単に説明します。手術前には外来での検査が必要であり、麻酔科受診によって手術の可否が決定されるため、事前の受診が必須です。
また、手術前日は多くのスタッフが訪れ、入院後のスケジュールが詰まるため、入院時間の厳守が求められます。
スムーズな準備のために、事前検査や麻酔科受診のスケジュールを確認しておくことが重要です。
検査・説明
整形外科では、まず痛みやしびれの原因を検査し、診断を確定します。診断後、手術以外の治療が適している場合は、基本的に手術は行いません。
手術が勧められるのは主に①絶対に必要な場合(癌の転移、重度の骨折、脊髄損傷による神経悪化など)と、②保存治療が奏功しない場合(腰椎ヘルニア、脊柱管狭窄症、変形性膝関節症など)です。
手術の規模はさまざまで、家族と相談しながら決断することもあります。また、リスクを考慮して手術を見送る選択肢もあります。全身麻酔や下半身の麻酔での手術に進むには、麻酔科の診察で問題なく麻酔がかけられることが前提となります。
【手術に向かう流れ】
- 医師が診断し推移や病状から手術を勧める
- 患者さんが手術をしたいという気持ちがある
- 手術前検査(採血、心電図、胸部レントゲン、肺機能検査、心エコーなど)で麻酔、手術に対して大きな問題がない
- リスクなどよく聞いて同意ができるなら、手術同意書などにサインする
- 麻酔科の先生と面談して麻酔もOKをもらい麻酔科同意書にサインする
- 院内にある入院係という入院についての患者さんへの一般説明をしてくれる部署に行く
入院
多くの場合、入院日は手術前日となります。時間厳守なのは入院日は各スタッフから聞かないといけない話も多いからです。
病棟看護師から手術前後の生活や不安への対処方法について説明があります。また、手術看護師が 手術室での流れを説明し、手術室に入って出るまでのシュミレーションを伝えたりします。
入院薬剤師により入院中の薬の調整について説明されることもあります。さらに、麻酔科医や執刀医が手術に向けた質問などを確認することもあります(必須ではないですが)。各スタッフが手術に向けて患者さんの不安を軽減し、スムーズな進行を目指します。
手術前日
手術前日の準備について
手術前日には手術の不安が少なくなるように、病棟看護師や手術看護師が来室し、手術前後のイメージができるように説明するのが一般的です。
麻酔科の先生も前日または当日に会う事が多いです。
担当医師は手術前日に必ず会えるとは言えないです。その理由として整形外科医は連日手術や救急車対応に追われていて、必ず入院時に病棟にいられないからです。
■飲食制限
- 麻酔前の一定時間は絶食・絶水の指示があります。
 以前は前日夕食は食べれない事がありましたが、現在は前日夕食を食べて、当日朝食は無しになる例が多いです。
 水分は2-3時間前まで多少はOKとしている病院もありますが、麻酔科の先生のお考えによるので一概には言えません。
- 胃の中に食べ物や水分が残っていた場合のリスク
 麻酔薬は患者さんによってひどく気持ち悪くなり、嘔吐することがしばしばあります。
 その時に胃に固形物の食物があるとfull stomach(フルストマック)といい、誤嚥や誤嚥性肺炎を起こしてしまう危険性があるためなるべく食物がない状態で手術になるよう管理します。
■入浴
- 前日にシャワーまたは入浴をして身体を清潔にする
- 手術する部位の剃毛などは程度によりますが基本的にはしないほうがいいです。
 これは皮膚が傷ついてしまうと創部感染リスクが上がるので、気になるようなら担当医に相談しましょう。毛が濃くて皮膚切開に問題がある場合には剃毛も勿論検討はします。
■薬
- 薬や注射については麻酔医・薬剤師の指示に従ってください。
- 麻酔科受診の際に手術当日の朝の内服をするものは決められている事が多いです。
手術当日
手術当日の準備について
手術については各病院の看護師さんたちに身を任せていくといいです。
■服装
- 手術や所要時間に応じT字帯または手術用パンツに履き替える。
- 上半身には下着をつけません。
手術室では麻酔がかかったらすぐに脱げるものがいいので、T字帯を利用します。
■装着品
- 義歯、貴金属類、ピアス、指輪、時計、ヘアピン、コンタクトレンズ、眼鏡などは外します。
- 例外的にメガネはとりあえず手術室までつけていき、担当の病棟看護師に渡していきます。
- 入れ歯は必ず外して手術室に向かいます。
■かつら・ヘアピース
- 金属で留める物は、電気メスによる火傷を防ぐため外します。
- かつらがずれることで、頭部・頭皮・頸部をいためる可能性があります。
■爪・まつ毛
- マニュキュア・ペディキュア・ネイルアート・付けまつげ・まつげエクステなどは外します。
 マニキュアは入院したらすぐに確認され、除光液で落としていきます。
- 手術中は眼の乾燥を防ぐため、眼を閉じるようテープで止めます。これは手術室看護師が行います。
整形外科の手術に関するQ&A
椎間板ヘルニアの手術時間はどれくらい?
椎間板ヘルニアについては手術時間は60-70分が一般的です。FESSではさらに術者の技量で時間短縮できる場合があります。
人工関節置換術の入院期間はどれくらい?
人工関節置換術後の入院期間は約2-3週が一般的です。
私は最新の技術や知識を判断にして治療に取り組んでいます
「痛みやしびれがもっと楽になれば、笑顔を取り戻せるのに」そんな患者さんの“悔しさ”を変えたくて診療してきました。
神経(脊髄)が得意で全身の整形外科手術をしてきた専門医として、MRI検査を合わせれば私の能力が最大限発揮でき患者さんに説明、治療できると考えています。
「これ以上は手術がいい」という線引きは、約15,000件の様々な手術に携わってきた身だからこそ言えると思います。
沢山の難治例の治療経験もありますので、昔のように完全には戻れなくとも一歩一歩の前進を大事に、“悔しさ”を笑顔に変えていきましょう。
監修
 
								整形外科専門医Dr.沼口大輔
| 2006年 | 東邦大学医療センター大橋病院 入職(初期研修) | 
|---|---|
| 2008年~ | 東京女子医科大病院整形外科 入局 千葉こども病院、国立がん研究センター築地病院ほか関東近県の複数関連施設にて研鑽を積む | 
| 2013年 | 日本整形外科学会認定 整形外科専門医 取得 | 
| 2016年 | 日本整形外科学会認定 脊髄病医 取得 | 
| 2016年~ | 東名厚木病院  医長 脊椎外科手術年間100件執刀、外傷手術年700~800件に携わる | 
| 2019年 | 日本脊椎脊髄病学会脊椎外科指導医 取得 | 
| 2024年~ | 千葉県内 救急病院に入職 | 
| 2025年 | 早稲田大学大学院(経営管理研究科:MBA)学位取得 | 
原著論文1
Incidence of Remote Cerebellar Hemorrhage in Patients with a Dural Tear during Spinal Surgery: A Retrospective Observational Analysis. 2019/04
症例報告
C5/6 hyperflexion sprainの1例 2018/06
原著論文2
環軸関節亜脱臼の診断におけるトモシンセシス撮影の有効性 2017/08
原著論文3
人工股関節全置換術を要した遅発性脊椎骨端異形成症の1例 2012
学会発表
- 強直性脊椎骨増殖症に発生した頚椎骨折に対して、前方固定術を施行した1例 (口頭発表,一般)
- MRI矢状断像における椎間孔部での狭窄の分類 (口頭発表,一般) 2013/04/25
- 脊椎手術において2本ドレンを留置することは術後の血腫による麻痺を防ぐことができるか (口頭発表,一般) 2013/04/25
- 椎体骨折偽関節症例に対するBalloon kyphoplasty施行後の隣接椎体骨折危険因子に関する検討 (口頭発表,一般) 2013/04/25
- 肩甲上神経絞扼を認めた肩甲切痕部ガングリオンの1例 (口頭発表,一般) 2012/06/23
- 外反母趾術後に出現した足底部痛の1例 (口頭発表,一般) 2010/11/16
 
					

 
										 
										