目次
外反母趾とは、母趾の先が付け根から示趾側に曲がってしまう障害で、母指球の内側が突出していく変形の事です(母趾の外反といいます)。この部位が痛みを強く出すこともあります。
外反母趾の程度はレントゲンの角度により規定され軽度、中等度、高度と分類されます。
外反母趾の症状とは?
写真:山田俊介、整形外科の疾患イラストノート 下肢・リウマチ編、整形外科看護 2021 vol26 no.4
外反母趾の変形による症状は、以下のものが挙げられます。
- 母趾列の関節の痛み
- (母趾列が使えず)2,3趾の影響による障害
- 足全体の機能低下に分けられます。
①母趾列の関節の痛み
・母指球内側(バニオンといいます)を接触したときの痛み
関節炎がその部位でおこる為に痛みが発生します。
・横幅が広くなり、履物がはいらないトラブル
外反母趾では母指球が突出することで足の横幅が大きくなり横アーチというものが障害されると足は幅広になってしまうので、今までの靴に足が入らなくなることがあります。
・母趾のしびれ、痛み
指先の神経障害が出て触った感覚が鈍くなる、ジンジン痛いなどの症状があります
・歩行速度の遅れ
とくに高度の障害では、拇趾の地面をGripする力の低下により歩行速度が遅くなる原因にもなります。
②2,3趾の影響による障害
・足底胼胝
母趾にうまく荷重がのらなくなり、2-3趾の足底部で荷重するため発生します。有痛性の胼胝(タコ)が発生します。
・示趾の槌趾変形
示趾は母趾によって乗り上げられるように変形させられるため、脱臼したり示趾の関節が交差して痛みを出したり関節炎が起きることがあります。
③足全体の機能低下
・転倒リスク
外反母趾では転倒リスクが増加することも多く報告されます。*1
・立脚不安定性
上記同様に、転倒とまではいかなくとも日常診療で不安定さを訴えることは多いです。
Menz HB, Morris ME, Lord SR. Foot and ankle risk factors for falls in older people: a prospective study. J Gerontol A Biol Sci Med Sci. 2006;61(8):866–870.
外反母趾の重症度による症状の違い
外反母趾には重症度がレントゲンにて決められております。
HV角(外反母趾角)という角度を測り、進行具合を分類します。HV角は20度までは正常です。
【軽度】違和感や軽い痛み
軽度はHV角が20度~30度未満です。外観上やや曲がっている実感や多少の母趾の痛みがあります。対処として軽度の場合には外反母趾の運動である母趾外転運動(Hohmann運動:ホーマンうんどう)を行うことで症状改善する例もあります。保存治療が主になります。
整形外科医(できれば専門医)にかかるメリットとして、進行しないようにする為に何を気を付ければいいか、靴やインソールは何が良いものかなどを聞いて治療できるので医師にかかることを勧めます。
軽度障害に対する治療
■ 保存治療
- Hohmann運動、足趾を開く運動
- Toe separator(主に寝ている時間に使用)
- 足底挿板(インソール)
【中等度】腫れや歩行時の痛み
中等度は、HV角は30度~40度となります。HV角が30度をこえてくると、趾が交差する現象が起きたり、母趾列が機能できなくなって2-3趾足底に胼胝(タコ)が出現している方が多いです。
痛くない靴が少なくなり、多くの患者様は「伸びるメッシュ素材で横幅がゆるめな靴」を履いて生活する状態になりがちです。横アーチも崩れてしまって扁平足になったり、足の痛みが外反母趾以外にも発生している場合があります。
インソールは市販のものでもいいのですが、中等度ともなると保険医療で作成できる「装具師が作成する医療用インソール」を勧めます。
足型に合ったものを作成できたり、耐久性の良い素材で作成できるのがメリットになります。しかしHV角が40度近くなると、インソールやHohmann運動の効果が出ない事もあります。
リハビリを併用し、手術が必要な方には勧めていきます。
中等度障害に対する治療
保存治療に加え、手術も検討します。
■ 保存治療
- Hohmann運動や足趾を開く運動
- Toe separator
母趾と示趾を離す目的、主に寝ている時間に使用 - 足底挿板(インソール)
複雑な足の障害にも対応できる医療用インソールを勧める
■ 手術療法
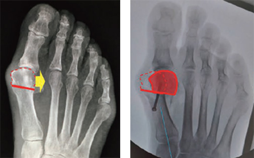
手術療法は多くの手術があり施設により異なります。一般的には第一中足骨といって、土踏まずの内側を形成する母趾の太い骨を横からみてV字に骨切りします。それを横スライドした後に金属(スクリューや面でおさえるプレート)固定を行います。
このようなやり方を、シェブロン法といいます。
なお、骨切り部は中足骨の指先側で行うのを遠位骨切りといい、根本のほうで行うのを近位骨切りと言います。イラストでは遠位骨切りをしています。
引用:菊池恭太,高田研.外反母趾の病態と治療(解説).フットケア.2023;8(2):94-99
【重度】明らかな変形や日常生活への支障
重度の外反母趾の場合、足は外反母趾以外にも足の機能も影響が出ます。
重度の場合は、HV角が40度以上となります。長年の罹患例が多く、特徴として、示趾が母趾により乗り上げられて脱臼しやすいです。脱臼すると痛みを伴ったり、難治性の胼胝(タコ)が足底にできることで歩行困難になってしまいます。
この障害度では保存治療では改善が難しい状況が多くなりますので手術が主に必要になります。示趾が脱臼していなければ、メタターサルパッドという足のパッドをつけたインソールでも痛みは取れることもあり手術を望まない高度障害でも使用検討します*。
足全体の機能にも影響し、転倒傾向や、歩行スピードの低下が起きてしまい、ロコモティブシンドロームの懸念もあります。
*大関 覚. 高齢者におけるロコモティブシンドローム―運動器の機能解剖とロコモティブシンドロームにおける足・足関節疾患の診断と治療(解説). Geriatric Medicine. 2012;50(9):1057–1060.
メタターサルパッドつきのインソールとは
除痛のために使用される、足の中央部にある丘状のパッドのことです。
効果として横アーチが修復されること、足底の2-3趾裏にできる胼胝部位に対する接触圧が弱まります。市販のものでも作成されていますが、医療用で足裏の圧を測定しオーダーメイドで丁寧に作成されるほうがご自身の足にフィットします。
高さの調整や、使用後にもアフターケアができることも医療用の利点となります。
重度障害に対する治療
■ 手術療法
- 外反母趾については中等度障害で紹介した手術術式など行います。
- 扁平足をはじめとする他の合併手術を合併していることも多く、複雑な術式を行うこともあります。
外反母趾の原因|なりやすい人の特徴
外反母趾は成人の足部変形のなかでもっとも一般的なもので、有病率は約30%程度です。
女性に多く、男女比では1:15の割合とも報告されています*1。
高齢女性においては3人に1人が外反母趾と報告されています*2。
ヒールや先が細い靴との関与、扁平足も原因に関与します。
興味をお持ちの方は「外反母趾の原因」へのリンクや、「扁平足」へのリンクをご参照ください。
*1.2菊池恭太,高田研.外反母趾の病態と治療(解説).フットケア.2023;8(2):94-99
整形外科で行う外反母趾の治療方法
外反母趾の治療方法は、痛みに対して消炎鎮痛剤をはじめとする内服薬や、外用剤を使用します。
常時痛い訳ではないので常時内服を望む患者様は少なめです。
内服以外について先に説明しましたが、変形に対して、残りの保存療法と手術療法があります。
■ 保存療法
運動療法
外反拇趾に対して、母趾ストレッチを拘縮の予防で行います。これはHohmann(ホーマン)体操と言います。これ両方の親指にバンドをつけて綱引きをするようなイメージです。
この運動で母趾は示趾側から離されていきます。また、母趾の外転運動といって指をパーに開くような運動を手指をアシストで使いながら行うことも重要です。この治療はガイドラインにおいても推奨されております。
装具療法
①Toe separator
シリコンが含有されているもので、足趾に装着したり足趾の間に使うものです。名前の通り、拇趾が示趾に寄っていくのをセパレート(離す)ものです。高度の外反母趾でなければ、効果が期待できます。また、このタイプの装具は運動療法と併用する事で変形矯正効果もあります*。
*外反母趾診療ガイドライン2022
②足底挿板(インソール)
インソールについては、軽、中等度の外反母趾については除痛効果が期待できます。
インソールには前述したメタターサルパッドをもちいて、内側縦アーチ(土踏まず)のサポートをする構造のインソールが一般的に使用されます。
■ 手術療法
高度変形に対して手術を行います。前述したV字に骨を切ってスライドさせるシェブロン法があります。大別すると、中足骨という骨について、母趾の根本で切る近位骨切りと、母趾の先側で切る遠位骨切りがあります。
術者や、重症度で術式は変化します。
手術による治療が必要なケース
中等度~高度のレントゲン画像の方で手術が必要になることが多いです。
手術目的は、主に2つあります。
1.除痛目的
外反母趾の痛みがひどかったり、外反母趾に続発して、難治性の慢性障害が出たときに手術を検討します。
- 足裏にひどい胼胝ができて治らなくなって痛みが強い
- 痛みで歩行できない
- 示趾が脱臼して痛みがある
- 足指が交差してしまい、褥瘡が発生した
2.整容面の改善目的
外反母趾自体は痛みが少ないが、見た目が耐えがたい、靴を選べないから手術をしたいと希望される場合など。
全て手術できるのか?
1の除痛目的については、医療機関が違っても概ね手術は行われる事が多いです(コンセンサスが得られています)。
2の整容面の目的については、執刀する医師の考えにもよる為に必ず手術が可能というわけではないです(リスクを考えて、必ずしもすべての足外科医が執刀するわけではありません)。
外反母趾の症状を放っておくとどうなる?
外反母趾を放置する場合、徐々に進行することがあります。特に合わない靴や、インソールや運動も知らずに生活し続けていくと悪化する生活を自らしてしまう事になります。
外反母趾に対処するには、正しい知識が必要です。
まとめ
私は大学病院を始め外反母趾手術に触れる機会や、自分でも患者様を手術執刀することで学びを得てきました。手術以外に、軽度〜中等度の患者さんの「選択の悩み」に注目しています。
1958年、Sim-Fookらは中国人200名を対象に、裸足で生活する群と靴を履く群を比較し、外反母趾の発生率が裸足では1.9%、靴を履く群では33%と大きく異なることを示しました。
靴の選択が足の変形に影響することが知られています。どのような靴は危ないか、ガイドラインにも記載があります。
しかし実際の患者さんには浸透せず、ご自身で考えて横幅がきついと痛い為に大き目だと縦幅が余り、逆に縦に合わせると横が当たり痛いといった問題に直面しがちです。結果として大きめの靴を選ばざるを得なくなる方が少なくありません。
そのような靴の中で靴紐なしだと足が前後に動く状態が続くことで、痛みが増していき、扁平足になったり合わないインソールを試しては失敗するという悪循環に陥ってしまいます。
外反母趾の治療は、「何をしないか」「何を選ばないか」も含めた判断がとても重要です。いま感じている違和感や迷いがあれば、これ以上足を壊さない選択肢があるかどうか、沼口まで一度ご相談ください。
監修
整形外科専門医Dr.沼口大輔
| 2006年 | 東邦大学医療センター大橋病院 入職(初期研修) |
|---|---|
| 2008年~ | 東京女子医科大病院整形外科 入局 千葉こども病院、国立がん研究センター築地病院ほか関東近県の複数関連施設にて研鑽を積む |
| 2013年 | 日本整形外科学会認定 整形外科専門医 取得 |
| 2016年 | 日本整形外科学会認定 脊髄病医 取得 |
| 2016年~ | 東名厚木病院 医長 脊椎外科手術年間100件執刀、外傷手術年700~800件に携わる |
| 2019年 | 日本脊椎脊髄病学会脊椎外科指導医 取得 |
| 2024年~ | 千葉県内 救急病院に入職 |
| 2025年 | 早稲田大学大学院(経営管理研究科:MBA)学位取得 |
Incidence of Remote Cerebellar Hemorrhage in Patients with a Dural Tear during Spinal Surgery: A Retrospective Observational Analysis
Spine Surgery and Related Research 3巻 2号
発行元 Spine Surgery and Related Research
65歳以下単椎体骨折症例にて2週間のベッド・アップ30°制限とした場合の,単純X線変化について
脊椎手術における術後頭蓋内出血についての検討
C5/6 hyperflexion sprainの1例
上腕骨近位端骨折に対し腓骨骨幹部移植を行った2症例
人工股関節全置換術を要した遅発性脊椎骨端異形成症の1例



