目次
扁平足は良く馴染みがある言葉の一つかと思いますが、どうして起きるのか、どう直したらいいのかについて説明いたします。
扁平足とは
扁平足は、足のアーチ構造が破綻し、土踏まずが消失してしまったものです。大人や子供でも起こりうるもので原因が異なります。
小児期扁平足
小児の扁平足は外来でよく親御さんが相談に来ます。経過観察で良いものから治療を要するものまであります。多くの場合には成長とともに改善され、10歳までに成人と同等の形態になります。
2016年に小学校3年生~中学生までの584名の足部形態を追跡した研究では、119名の外反扁平足(踵も傾いていく一般的な扁平足)が確認できています。
外反扁平足のままで成長していく児童は、“肥満”傾向であることが一因と挙げられています。肥満を治せば扁平足が治るとは言い切れないですが、影響の一つなので、この障害で悩む親御さんの場合でお子さんが肥満傾向ならば、それを気にしていただくことも重要です。
参考:小中学生における足部形態の経年変化に関する後ろ向きコホート研究 日整会誌 95(3)2021
成人期扁平足
大人になってから生じる成人期扁平足は、後脛骨筋腱といってアーチ構造を支える腱の変性・断裂により起こるものが多いです。
踵が内側に傾いていくのが特徴で、主に足の内側に腫れや痛みを生じたり、足の疲れやすさを感じやすくなります。
なぜ扁平足になる?原因は?
扁平足になる原因ですが、大別すると以下のように分けて私は診察をしています。
| 小児 |
|
|---|---|
| 後天性(成人) |
|
先天的な要因
先天的な要因(生まれつきの足部変形)で扁平足であるのは、先天性垂直距骨という病気です。舟底変形という足の変形になります。発生は1万人に1人であり、先天性の足部変形の4%以下と言われています。遺伝子の異常や胎児期の発育障害が原因に挙げられています。
後天的な要因
小児期の後天的扁平足
小児期の後天的な扁平足は、多くは成長の一時的なものです。ご両親が「ペタペタ歩く、転びやすい」といった相談をしてくることが多いです。10歳までにアーチ(土踏まず)が形成されていく可能性があるので、成長を見守る事も行うことがあります。
前述した通り、584名の足部形態を追跡した小児の研究では、119名の扁平足が確認できています。扁平足のままで成長していく児童は、“肥満”傾向であることが一因と挙げられています。
成人の後天的扁平足
成人の後天的な扁平足では、後脛骨筋といった内側アーチを保持する筋力の低下が原因の主と考えられています。肥満の中高年女性に多いと言われています。
また、内くるぶしの下で後脛骨筋腱の断裂が後発する部分があります。これは虚血領域といって、腱への血流が乏しいことが分かっています。
他の成人扁平足の原因として、変形性関節症、リウマチ、外傷(骨折)、脳性麻痺などの神経麻痺などがあります。
参考:雑賀建多:関節外科 Vol.43(2024)
参考:日本足の外科学会監修 足の外科テキスト、南江堂 p171
扁平足の症状
扁平足の症状は、小児期であれば「ペタペタ歩く、転びやすい」といった症状に加え、疲れやすさや痛みを訴える場合もあります。
成人であれば、扁平足単体ではなく外反母趾や開帳足などを合併していることが多いです。胼胝(タコ)をはじめとして、足の変形を多数持っている状態なので症状は多彩です。
扁平足の診断・検査
扁平足は診察所見とレントゲンで評価していきます。
診察所見では、足関節の内側の後脛骨筋の断裂があるかを触れる事や、患者さんを後ろ向きにしたときに特徴的な、too many toes signを確認します。
画像参考:日本足の外科学会監修 足の外科テキスト、南江堂 p171
左が正常です。踵の骨が外反といって傾いており、外側の足趾が多く後ろから確認できる扁平足の特徴的なサインです。
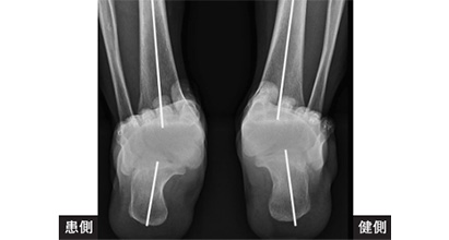
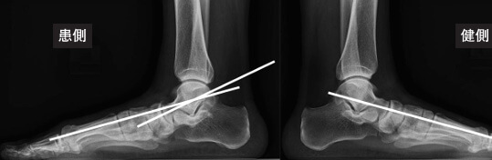
レントゲン評価では、足部を前面から、側面から、後面から評価します。
■前面から
外反型変形性足関節症の有無
詳しくは説明省きますが、stage分類に用いる為に重要です。
■側面から
距骨-第1中足骨角(LTMT)という角度を測ります。
これも詳細な説明は省きますが、正常が一本線、2本が混じるときに角度の差が10度以上の差が足の甲側か足底側に出るかによって評価します。扁平足か、凹足(アーチが高い)かを判断します。
■後面から
踵骨といって踵の骨が内側にたおれてしまう角度を測っています。
TBCという角度を測ります。
参照画像元:秋山 唯、日本フットケア・足病医学会誌4(1):17-21,2023
扁平足のstage分類
成人の扁平足の治療にあたり、stage分類が重要になります。治療選択に関与する部分であり、これらの要素を重要視します。
- 後脛骨筋の腱損傷があるか
- too many toes signがあるか(扁平足変形があるか)
- 崩れた変形を戻そうとして軟らかい(flexible)か、硬く(rigid)て戻らないか
- 外反型変形性足関節症があるか
注:変形を戻すとは、踵骨の傾きをもどしたときにそれ以外の関節成分が戻るかなどをみて決めていきます
■Stage分類(すこしかみ砕いた表現です)
- Stage1:
①の腱は切れているが、まだ②の扁平足変化がないもの - Stage2:
②の扁平足変化があるが、③整復はできて軟らかいもの - Stage3:
②の扁平足変化があるが、③整復は不可能で硬いもの - Stage4:
④外反型変形性足関節症までおきてしまったもの
扁平足の治療方法
扁平足は、stageによって保存治療か手術療法かを選択して治療します。
保存療法
扁平足は、軟らかくて整復が可能なstage2の多くは保存療法の範囲になりますが、硬くて整復が困難になってくると本格的に手術が必要になってきます。
運動療法は初期には効くため行いますが、治療の主は装具療法になります。良く知られているのがアーチサポート(インソール)です。矯正効果を高めるためには、インソールの硬さも重要です。
手術療法
しなやかに動く扁平足であっても手術を検討するタイミングとしては、足の内側が傾いて倒れる事で出現有痛性胼胝(タコ)や皮膚潰瘍がある場合です。また、足の踵が内側に倒れてくるので、外側の踵では外くるぶしとぶつかって疼痛がひどくでている場合です。足関節の専門の外科医が行う手術となり、硬くて整復困難なstage3では三関節固定術、変形性足関節症とまでなってしまったstage4では人工足関節か関節固定術といった大きな手術が必要になります。参考画像は三関節固定術になります。
画像参考:安井哲郎、手術療法の立場から Loco Cure vol.10 no.1 2024
扁平足を放置するリスク
扁平足自体は、小児から大人まで皆さんの周りにいると思いますが、問題は成人(とくに中年以降)に腱が切れると破壊的な進行を辿る方がいるので注意がいります。扁平足に合併して、外反母趾が進行して悪化したり、胼胝(タコ)が発生して「靴が履けなくなる、合わなくなる」事が問題と考えています。
まとめ
「痛みやしびれがもっと楽になれば、笑顔を取り戻せるのに」——そんな患者さんの悔しさを変えたくて診療を続けてきました。
整形外科専門医として神経(脊髄)の治療に精通し、高速道路近くの救急病院や大学病院で18年間診療を行ってきました。
歩行が長く、きちんと行える事は自立した満足な生活に関わると考え、足の治療を学びなおそうと足専門クリニックでも診療・研鑽を行ってきました。インソールや靴選び、ストレッチ方法の伝え方に興味を持って取り組んでいます。
装具技師と細かな計画を練ってオーダーメイドで作っていくインソール治療を続けてきましたので、是非足の相談をしてください。
監修
整形外科専門医Dr.沼口大輔
| 2006年 | 東邦大学医療センター大橋病院 入職(初期研修) |
|---|---|
| 2008年~ | 東京女子医科大病院整形外科 入局 千葉こども病院、国立がん研究センター築地病院ほか関東近県の複数関連施設にて研鑽を積む |
| 2013年 | 日本整形外科学会認定 整形外科専門医 取得 |
| 2016年 | 日本整形外科学会認定 脊髄病医 取得 |
| 2016年~ | 東名厚木病院 医長 脊椎外科手術年間100件執刀、外傷手術年700~800件に携わる |
| 2019年 | 日本脊椎脊髄病学会脊椎外科指導医 取得 |
| 2024年~ | 千葉県内 救急病院に入職 |
| 2025年 | 早稲田大学大学院(経営管理研究科:MBA)学位取得 |
原著論文1
Incidence of Remote Cerebellar Hemorrhage in Patients with a Dural Tear during Spinal Surgery: A Retrospective Observational Analysis. 2019/04
症例報告
C5/6 hyperflexion sprainの1例 2018/06
原著論文2
環軸関節亜脱臼の診断におけるトモシンセシス撮影の有効性 2017/08
原著論文3
人工股関節全置換術を要した遅発性脊椎骨端異形成症の1例 2012
学会発表
- 強直性脊椎骨増殖症に発生した頚椎骨折に対して、前方固定術を施行した1例 (口頭発表,一般)
- MRI矢状断像における椎間孔部での狭窄の分類 (口頭発表,一般) 2013/04/25
- 脊椎手術において2本ドレンを留置することは術後の血腫による麻痺を防ぐことができるか (口頭発表,一般) 2013/04/25
- 椎体骨折偽関節症例に対するBalloon kyphoplasty施行後の隣接椎体骨折危険因子に関する検討 (口頭発表,一般) 2013/04/25
- 肩甲上神経絞扼を認めた肩甲切痕部ガングリオンの1例 (口頭発表,一般) 2012/06/23
- 外反母趾術後に出現した足底部痛の1例 (口頭発表,一般) 2010/11/16

