外反母趾の治療方法|保存療法や手術療法について医師が解説

コラムアイキャッチ

外反母趾とは、母趾の先が付け根から示趾側に曲がってしまう障害で、母指球の内側が突出していく変形の事です(母趾の外反といいます)。この部位が痛みを強く出すこともあります。

外反母趾の治療方法

外反母趾の治療方法

外反母趾の治療は、変形の程度を分類して、それにみあった治療を提案します。

外反母趾の重症度による症状の違い

外反母趾には重症度がレントゲンにて決められております。 HV角(外反母趾角)という角度を測り、進行具合を分類します。HV角は20度までは正常です。

外反母趾の治療方法
外反母趾の治療方法

軽度~重度に行くに従い、保存療法から手術までが必要となってきます。

保存療法

保存療法は軽度から中等度で行います。
HV角で言うと20度~40度未満です。外観上やや曲がっている実感や多少の母趾の痛みがあります。
対処として軽度の場合には外反母趾の運動である母趾外転運動(Hohmann運動:ホーマンうんどう)を行うことで症状改善する例もあります。
整形外科医(できれば専門医)にかかるメリットとして、進行しないようにする為に何に気を付ければいいか、靴やインソールは何が良いものかなどを聞いて治療できるので医師にかかることを勧めます。

靴の指導

外反母趾で靴の指導をする場合、多くの方は、外反母趾の影響により靴選びは理にかなった選択をしています。しかし一方で開帳足、扁平足への進行助長をしてしまう懸念がある選択でもあると思っています。
患者さんは、「足の横幅が広くなり、縦サイズに合わせると横が窮屈になり親指が痛い」と感じ、「足の横幅に合わせると、縦がぶかぶかになる」といった悩みを抱えています。

そこで、縦幅は合うようにして横幅が少し広がるようなメッシュタイプの靴を選択されがちです。
このような場合でも、足が靴の中で自由に動いてしまうことで、本来足の中央部を靴紐などで締めていられず、移動できてしまうために横アーチが悪くなる(開帳足変化)が進行してしまいまう懸念があります。

開帳足

私が推奨するのは、
インソールを使用して横のホールドができるストラップまたは靴紐の靴を選び、横幅の選択肢があるメーカーを勧めています
長時間立ちっぱなしの作業をされていたり、仕事でよく歩き回る必要がある方には、4Eや5Eといった縦の長さをかえずに横幅のサイズを広くすることで、足への負担を軽減し、疲労感を抑える効果が期待できます。
また、高いヒールは明確に外反母趾のリスクになりますので勧めません。

靴の要点

  • 足底は固くて頑丈
  • 足趾のMTP関節は曲がる(つま先立ちで使う関節です)
  • 靴の中で横に動かないように靴紐やストラップタイプ
  • 踵がしっかりしている靴(インソールもあるとさらに好ましい)
  • ヒールは4センチ以内
  • 縦幅に対して横幅が大きい靴(3E、4E)
  • 高齢になり変形しカーブした足形にも合う靴
靴の要点

MP関節が曲がるには母指球で靴のソールが曲がる素材になっていなければなりません。

靴の一例

例として、アシックスのライフウォーカーもいい選択だと思います。

靴の一例

ストラップ、多彩な横幅のラインナップに加えて、足形が変形してカーブしてしまった方にも合うように靴裏自体も少しカーブしてできています。
個人差があることに留意していただき、ご自身で試されてご検討ください。

インソール(足底板)治療

インソールは医学研究の報告により、軽度から中等度の外反母趾に対して除痛効果が期待できると報告されています*1。以下のような特徴があります。

インソールは適切に患者さんを選んで提案すると、手術と同等の除痛力?

短期間においては、その通りです。私は治療の選択肢として良く用います。
しかし適応と、持続効果時間には注意が要ります。私の判断の基準になっているのは、ガイドラインです。
軽度から中等度の外反母趾では、手術、装具(インソール)、経過観察の3つに分けて成績を比較した結果、治療開始6か月ではインソールは手術と同等の除痛効果が得られていました

しかし、1年後の除痛効果は低下しました*2。除痛効果は早期の実感としては喜んでいただけるのですが、除痛維持についてはまだまだ改善の余地があると思っています。
私は悲観的に捉えておらず、インソールのアーチ保持能力の継続時間の限界を超えられるようなインソールの素材の探求、形状を考え装具技師さんと改良を積極的にしています。

*1、*2 外反母趾診療ガイドライン2022改訂第三版

運動療法

外反母趾_運動療法

外反母趾に対して、母趾ストレッチを拘縮の予防で行います。これはHohmann(ホーマン)運動と言います。両方の親指にバンドをつけて綱引きをするようなイメージです。
この運動で母趾は示趾側から離されていきます。また、母趾の外転運動といって指をパーに開くような運動を手指をアシストで使いながら行うことも重要です。
これら運動についてはガイドラインにおいても推奨されております。
推奨頻度:週3回

インソール以外の装具療法

外反母趾_装具療法

※参照元:medicalnote | 外反母趾

装具については、矯正用装具と、足底挿板(インソール)があります。
今回は矯正用装具について説明します。

矯正用装具

Toe separator
シリコンが含有されているもので、足趾に装着したり足趾の間に使うものです。名前の通り、母趾が示趾に寄っていくのをセパレートし離すものです。
高度の外反母趾でなければ、除痛効果が期待できます。また、このタイプの装具は運動療法と併用する事で変形矯正効果もある*と報告があります。
推奨時間:夜間就寝中8時間(最低でも6時間)

*外反母趾診療ガイドライン2022

薬物療法

薬物治療は、炎症により痛みが強い時期に検討することがあります。
常時痛い訳ではなく、当たっていたい、歩いていたいなどの特定の動作や条件で誘発されるため、多くの患者さんは常時の内服薬を望まない方が多いです。

手術療法

手術は中等度~高度変形(HV角は30度以上)にて、足のトラブルの状況をみながら患者さまの希望にそって検討する場合が多いです
外反母趾とそれに伴い母趾の荷重が困難になってきて有痛性の足底胼胝(示趾―中趾)ができてくると痛みで手術を求める方が増えていきます。

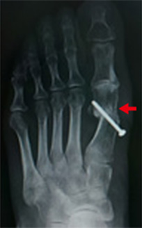
手術については、第一中足骨の骨切り術というのが一般的です。切る場所によって大別すると近位骨切り術、骨幹部骨切り術、遠位骨切り術に分かれます。
切り方により沢山の手術方法があります。
術式は200種類とも言われ、一部のみ紹介します。図は母趾と示趾に対して、近位骨切りを行った場合についての変化です。

第一中足骨の骨切り術

※参照元:理学療法士による臨床のためのnote

イラスト説明 左:母趾を切る予定に線が引いてあります 右:術後の母趾と示趾

最終的には切っただけではだめで、術中に母趾を螺子またはプレートで固定します。

手術画像:日本足の外科学会

手術画像:日本足の外科学会

外反母趾の治療が必要なサイン

私の考えではありますが、外反母趾で治療が必要なサインとして以下の場合を勧めます。

① 母趾の痛みが出たとき

外反母趾で角度が高度となる場合母指球の痛みや発赤腫脹が発生し、歩行時や靴と擦れて痛みを出してしまいます。さらに悪化することも多いので、治療をしましょう。

画像参照:日本足の外科学会

画像参照:日本足の外科学会

② 示趾の痛みや足底胼胝が出たとき

母趾が曲がってくると母趾側の荷重を支える機能がおちてしまいます。
示趾の下に潜り込むことで、指間の皮膚トラブルが出たり、2-3趾の荷重負担が強くなり2-3趾足底に有痛性の胼胝(タコ)が発生します。
これにより歩行の痛みはさらに増してくるため、治療をしたほうがいいです。

画像参照:日本足の外科学会

画像参照:日本足の外科学会

③ 整容面で耐え難いとき

形が悪化してきているけれども痛みがないという場合でも、困っていれば整形外科医師に相談しましょう。
痛みがなければ何もしないという医師も一部いますが、診察を細かく行うと扁平足変化、開帳足変化が進行しており外反母趾も悪化していることを判断するとアーチサポート(インソール)を処方するといった対処もします
また、整容面が理由で手術を検討してくれる外科医も全員ではないですが存在します。

外反母趾を治療しないとどうなる?

外反母趾を治療しないと、すぐ歩けなくなるといったことは少ないです。痛みが悪化する事が予想されますが、セルフケアが重要です
夜間寝る前にToe separatorを装着して、靴にはインソールを、日々の習慣の中にHohmann運動や指の外転運動を取り入れられれば、軽症から中等度の外反母趾変形であれば角度改善や除痛も効果が期待できます。

症状が高度に進行し、角度が40度以上になってくると歩行機能に問題が出て、胼胝や皮膚トラブル、母趾の耐え難い痛みで手術に進む方もいます。

外反母趾の治療に関するQ&A

外反母趾の治療に健康保険は適用されますか?

はい、外反母趾の治療やインソールに健康保険を適応できます
何も検査もせずに不安のまま市販のインソール(オーダーメイドは4-5万円するものもあります)に進む前に、保険診療内で検査を行って治療選択肢を聞きましょう。
また、足形をとって正確に作る保険適応のインソールもあります。

治療後に外反母趾が再発することはありますか?

はい、あります。外反母趾はHohmann運動や、separatorを使いセルフケアが重要ですが、やめると角度が持続できない懸念についても、ガイドラインに報告があります。

外反母趾の治療は整形外科と整骨院のどっちで受けるべきですか?

整形外科です。理由は、外反母趾は確度で病状の進行具合を分けており、提案する治療も異なります。
レントゲンは整形外科でないと検査できません。
整骨院については、一部保険適応にできる条件が外傷についてのみありますが、外反母趾は外傷ではないので自費診療になってしまいます。
以上から、私は画像検査せずに進む事は、問題がある領域だと考えております。

まとめ

外反母趾を含めた足変形は、整容面と機能面の両方に問題が起き、靴がうまくあわなくなり、足が痛くて横幅が伸びる緩い靴しか履けなくなり悩んでいる方も多い領域です。
結果的に歩くのもおっくうになるだけでなく、膝や股関節の変形性関節症と関連があり、ロコモティブシンドロームとも相関がある報告もあります。

また、成人だけではなく未成年の足にも外反母趾は発生し、未来まで足が大事に使えるようにインソールや母趾の運動を重要視して啓蒙できる医療チームが必要です。
私はキャリアの中で、足に特化したクリニックや、こども病院でも子供の足変形の患者様(先天性内反足やうちわ歩行など)の治療に携わりました。
成人の外反母趾や、お子様の外反母趾・扁平足については、私やリハビリスタッフ、装具技師と一緒に積極的な提案をしていきますので、まずはご相談ください。

監修

整形外科専門医 Dr.沼口大輔

整形外科専門医Dr.沼口大輔

大学 2006年 東邦大学医学部卒 2025年 早稲田大学 大学院経営管理研究科(MBA)修了
資格、学位 日本整形外科学会認定 整形外科専門医 日本整形外科学会認定 脊椎脊髄病医 日本脊椎脊髄病学会認定 脊椎脊髄外科指導医 MBA(経営学修士)
職歴
2006年 東邦大学医療センター大橋病院 入職(初期研修)
2008年~ 東京女子医科大病院整形外科 入局
千葉こども病院、国立がん研究センター築地病院ほか関東近県の複数関連施設にて研鑽を積む
2013年 日本整形外科学会認定 整形外科専門医 取得
2016年 日本整形外科学会認定 脊髄病医 取得
2016年~ 東名厚木病院 医長
脊椎外科手術年間100件執刀、外傷手術年700~800件に携わる
2019年 日本脊椎脊髄病学会脊椎外科指導医 取得
2024年~ 千葉県内 救急病院に入職
2025年 早稲田大学大学院(経営管理研究科:MBA)学位取得
執筆・共著

Incidence of Remote Cerebellar Hemorrhage in Patients with a Dural Tear during Spinal Surgery: A Retrospective Observational Analysis

Spine Surgery and Related Research 3巻 2号
発行元 Spine Surgery and Related Research

65歳以下単椎体骨折症例にて2週間のベッド・アップ30°制限とした場合の,単純X線変化について

日本整形外科学会雑誌
(日本整形外科学会骨・軟部腫瘍学術集会抄録集)
94巻 3号

脊椎手術における術後頭蓋内出血についての検討

Journal of Spine Research 8巻 3号
発行元 日本脊椎脊髄病学会

上腕骨近位端骨折に対し腓骨骨幹部移植を行った2症例

JOSKAS 44巻 4号
発行元 日本膝関節学会

人工股関節全置換術を要した遅発性脊椎骨端異形成症の1例

関東整形災害外科学会雑誌 43巻 1号
発行元 関東整形災害外科学会